Ключевые моменты
- Вирусы папилломы человека (ВПЧ) заражает только людей и не передается через животных или насекомых.
- Известно более 200 типов ВПЧ.
- ВПЧ имеет сродство к эпителию (слою клеток, выстилающим человеческие кожу и слизистые) и заражает только их.

Изображение ВПЧ, полученное с помощью электронного микроскопа. Credit: Dr Graham Beards, Wikimedia Commons, CC BY-SA 4.0
- Вирус передается при прямом физическом контакте кожи или слизистых оболочек. Основной путь передачи — половой, особенно при микроповреждениях кожи или слизистых.
- В большинстве случаев заражение ВПЧ не проявляется никак, но у некоторых возможно развитие доброкачественных (кондилом или бородавок, это одно и то же) и/или злокачественных новообразований из клеток эпителия (раков).
- Человек, зараженный ВПЧ, может заражать других людей вне зависимости от того, есть у него проявления ВПЧ на коже или слизистых или нет.
- Вторая хорошая новость: если человек заразился ВПЧ, то это, скорее всего, не навсегда. ≈ 90% заражений ВПЧразрешаются (проходят) самостоятельно в течение ≈ 2 лет. У некоторых людей ВПЧ может сохраняться дольше, годами. Онкогенные (то есть с большей вероятностью приводящие к развитию раков) типы ВПЧ, которые сохраняются в организме более 12 месяцев, увеличивают вероятность предраковых или раковых поражений, хотя и не всегда.
- ВПЧ почти не проникает в кровь, поэтому иммунный ответ на него слаб, и еще вряд ли возможен «разнос» вируса по организму. {Источник:Stanley M. Immune responses to human papillomavirus. Vaccine. 2006;24 Suppl 1:S16–22.} Однако кровь как источник диагностики не используется, поскольку верификация в крови не является клинически полезной.
- Вирус высоко устойчив во внешней среде и устойчив к действию большинства антисептиков.
Болезни, не ассоциированные с ВПЧ
То есть те, которые не имеют ничего общего с ВПЧ.
Кожные папилломы
Мягкие фибромы или акрохордоны – часто встречающиеся мягкие, маленькие, телесного цвета или пигментированные образования на ножке.
Обычно имеются множественные образования, для них характерна локализация на коже шеи, подмышечных ямок и паховой области. Множественные кожные образования могут быть связаны с инсулинорезистентностью; таким людям иногда рекомендуется скрининг на наличие инсулинорезистентности.
Мягкие фибромы обычно бессимптомны, но возможно их механическая травма.
Часто травмирующиеся или вызывающие выраженный косметический недостаток мягкие фибромы можно удалить путем криодеструкции, электрокоагуляции или иссечения скальпелем или ножницами.
Болезни, ассоциированные с ВПЧ
Рак шейки матки
Рак шейки матки (РШМ) – один из самых распространённых раков у женщин, наряду с раком молочной железы, яичников, тела матки и кожи).
Практически все случаи рака шейки матки связаны с ВПЧ-инфекцией, при этом ВПЧ 16 составляет примерно половину всех случаев, а ВПЧ 18 типа еще 20%. ВПЧ 31, 33, 45, 52 и 58 вызывают еще 15%.
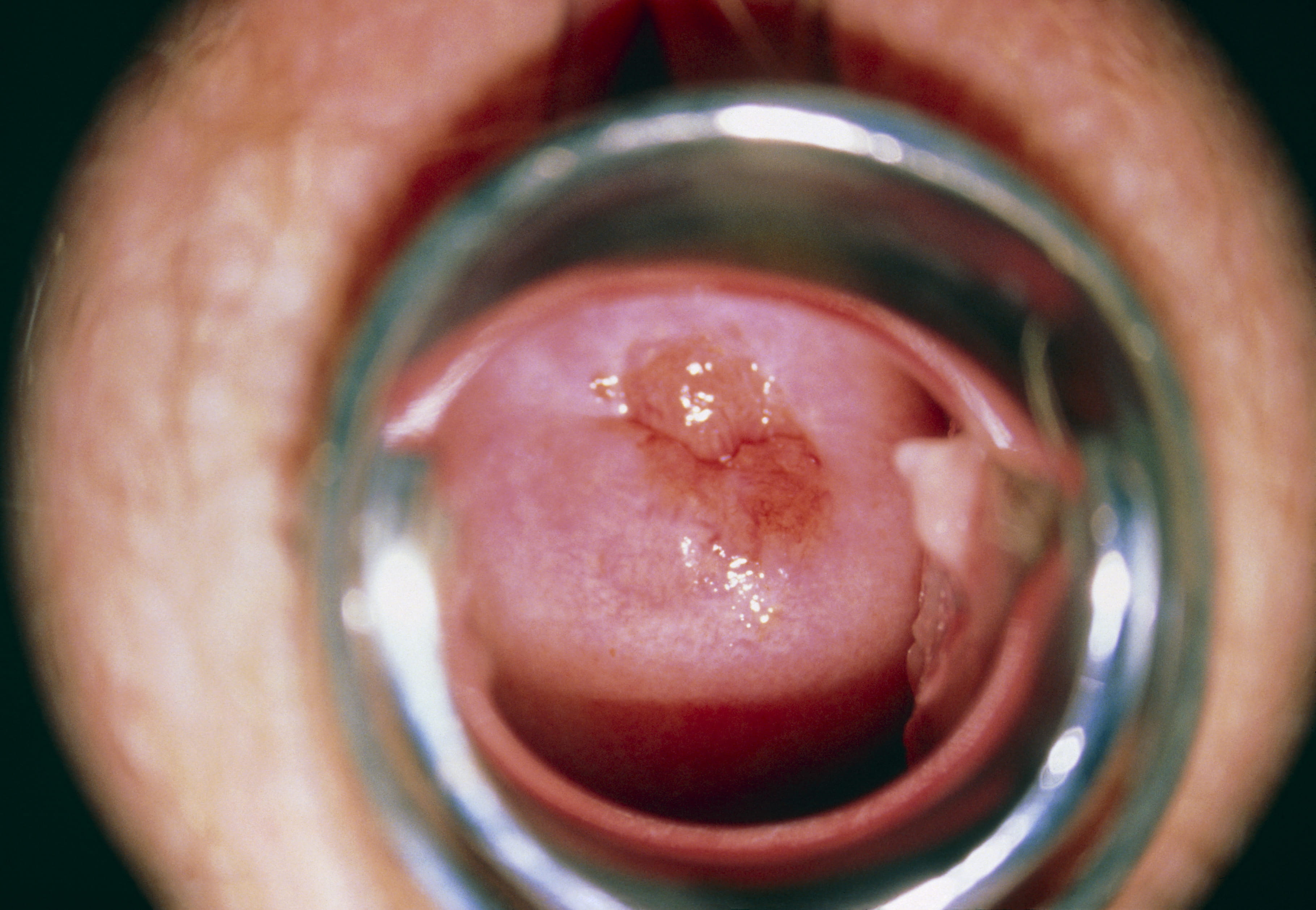
Предвестником рака шейки матки является цервикальная интраэпителиальная неоплазия (ЦИН).

Кольпоскопия шейки матки (в центре) при дисплазии ЦИН 1. Пораженная предраковая область слегка опухшая с обесцвеченной областью вокруг зева (шейки матки) в центре. Credit: SCIENCE PHOTO LIBRARY
Часто на ранних стадиях РШМ протекает бессимптомно. Первые симптомы обычно нерегулярны, часто это может быть посткоитальное кровотечение или иногда кровотечения между менструациями.
Более крупные опухоли чаще проявляются внезапными кровотечениями, а также могут вызвать выделения с неприятным запахом или тазовые боли.
При более обширном распространении РШМ может произойти обструкция (перекрытие) мочевыводящих путей, появиться боли в спине, отечность нижних конечностей из-за венозной или лимфатической обструкции.
Стандартный гинекологический осмотр может выявить растущую в просвет влагалища или цервикального канала опухоль шейки матки; тем не менее, большинство видов рака шейки матки невозможно увидеть без увеличения (кольпоскопии).
Диагностика рака включает тест Папаниколау и биопсию (иссечение кусочка ткани или органа для микроскопического исследования в диагностических целях).
Тест Папаниколау
Он же ПАП-тест, он же мазок по Папаниколау, или (онко)цитологический мазок с шейки матки. Бывает в виде «простого» мазка на стекло или в жидкостном варианте. Жидкостной ПАП-тест предпочтительнее из-за его более высокой чувствительности.
Рак шейки матки может быть заподозрен и при обычном гинекологическом осмотре. Его наличие предполагают у женщин со следующими проявлениями:
- видимый патологический очаг на шейке матки,
- аномальные влагалищные кровотечения.
Ведение женщин с отклонениями в ПАП-тесте основано на рекомендациях Американского общества кольпоскопии и цервикальной патологии, {Cheung, Li C., et al. «2019 ASCCP risk-based management consensus guidelines: methods for risk estimation, recommended management, and validation.» Journal of lower genital tract disease 24.2 (2020): 90-101.} предусматривающих индивидуальный подход.
При ранней стадии заболевания лечение обычно включает хирургическую резекцию (операция удаления органа или части органа) или лучевую терапию в сочетании с химиотерапией в случае местного распространения заболевания. Если рак дает обширные метастазы, часто как единственный метод используется химиотерапия.
Кондиломы (бородавки)
Кондиломы – это часто встречающиеся доброкачественные аногенитальные новообразования (кондиломы) или кожи (бородавки), вызванные вирусом папилломы человека. Они могут возникать на любом участке кожи и могут иметь разное строение. Диагноз ставится при осмотре.
Большинство типов кондилом протекают бессимптомно. Однако некоторые кондиломы болезненны, в частности расположенные на участках кожи, подверженных механическим нагрузкам (например, на подошве стопы).
Кожные кондиломы
Большинство подтипов ВПЧ заражают кожный эпителий и вызывают кожные кондиломы.
Обыкновенные кондиломы – множественные и безболезненные, чаще всего локализуются на тыльной стороне кистей. Ассоциированы с 1, 2 и 4 типами ВПЧ. Имеют собственные кровеносные капилляры.

Обычная кондилома (твердый, грубый, круглый узелок с резкими границами) на пальце. © Springer Science+Business Media
Кондиломы мясников – бородавчатые разрастания, по форме напоминающие цветную капусту и локализующиеся на тыльной стороне кистей и на пальцах у людей, имеющих профессиональный контакт с мясом). Ассоциированы с 2 и 7 типами ВПЧ.
Нитевидные кондиломы имеют длинные тонкие разрастания по типу папоротника, обычно расположенные на коже век, лица, шеи или губ. Обычно они протекают бессимптомно. Этот морфологический вариант кондилом носит доброкачественный характер и легко поддается терапии.
Плоские кондиломы – мелкие множественные папулы с гладкой плоской поверхностью, локализующиеся на тыльной стороне кистей, предплечий, на лице и слизистых оболочках. В целом они не сопровождаются симптомами, но трудно поддаются терапии. Ассоциированы с 3 и 10 типами ВПЧ.
Ладонные и подошвенные кондиломы – плотные, часто болезненные округлые бляшки, возникающие на коже подошв стоп и ладонях. Ассоциированы с 1, 2 и 4 типами ВПЧ.
Мозаичные кондиломы – это бляшки, сформировавшиеся при слиянии множества маленьких близко расположенных подошвенных кондилом. Как и другие подошвенные кондиломы, часто сопровождаются болезненностью.
Околоногтевые кондиломы имеют вид утолщения кожи вокруг ногтевой пластины с трещинами на поверхности, напоминающего цветную капусту. Они обычно бессимптомны, но при росте кондилом трещины могут вызывать болезненность. Часто утрачивается кутикула и формируется склонность к паронихии. Околоногтевые кондиломы чаще развиваются у людей с привычкой грызть ногти или по роду деятельности часто работающих руками в воде, например у посудомоек и буфетчиков.
Аногенитальные кондиломы
Они же остроконечные кондиломы. ВПЧ типов 6 и 11 вызывают примерно 90% генитальных кондилом. (Ано)генитальные кондиломы диагностируются на основании клинической картины, то есть жалоб, данных расспроса и осмотра. Генитальные кондиломы могут сохраняться и широко распространяться у пациентов со сниженным клеточным иммунитетом (например, из-за беременности или ВИЧ-инфекции).
Рецидивирующий респираторный папилломатоз
Папилломатоз гортани является наиболее распространенной доброкачественной опухолью гортани у детей и, как полагают, вызван ВПЧ, приобретенным при прохождении через родовые пути инфицированной матери. ВПЧ 6 и 11 являются наиболее часто встречающимися типами.
Несмотря на доброкачественность, значительная часть симптомов возникает из-за перекрытия просвета гортани бородавками, и многим больным требуются множественные процедуры по их удалению.
Вот показательный случай:
Кроме того, папилломатозные поражения редко могут агрессивно разрастаться, распространяться в легкие и подвергаться злокачественной трансформации.
Прогноз при кондиломах
Многие кондиломы самостоятельно исчезают (в особенности обыкновенные кондиломы); остальные сохраняются в течение многих лет и рецидивируют в том же или в новых местах, даже при проведении терапии.
По-видимому, факторы, влияющие на развитие рецидива, связаны с общим иммунным статусом пациента, а также с локальными факторами. У людей, подверженных локальным травмам (например, атлетов, механиков, мясников), может развиваться резистентная и рецидивирующая ВПЧ-инфекция.
ВПЧ-инфекция половых органов может приводить к озлокачествлению, при этом озлокачествление редко наблюдается при кондиломах кожи, вызванных ВПЧ, за исключением случаев заболевания у больных с иммуносупрессией.
Лечение при кондиломах
Существуют показания к лечению кондилом, включая дискомфорт, косметические причины и риск передачи партнёру. Однако при отсутствии симптомов лечение может быть отложено или не потребоваться. Не все случаи требуют терапии.
Способы лечения могут потребовать длительного времени и оказаться неэффективными. Методы терапии могут быть менее эффективны при нарушении функции иммунной системы.
В целом, решение о необходимости лечения принимается индивидуально. {Источник:National Cancer Institute. HPV and Cancer. https://www.cancer.gov/about-cancer/causes-prevention/risk/infectious-agents/hpv-fact-sheet}
Раздражающие методы
Механизм действия многих раздражающих веществ заключается в инициации иммунной реакции на ВПЧ. К таким раздражающим веществам относятся салициловая кислота (СК), трихлоруксусная кислота (не зарегистрирована в РФ), 5-фторурацил, подофиллотоксин (не зарегистрирован в РФ), третиноин и кантаридин (не зарегистрирован в РФ).
Крем имиквимода 5% (не зарегистрирован в РФ) для наружного применения вызывает локальную продукцию противовирусных цитокинов клетками кожи.
Препараты для перорального приема включают изотретиноин и препараты цинка. Можно также использовать внутривенно цидофовир.
В большинстве случаев следует комбинировать методы терапии для увеличения вероятности успеха.
Прямое противовирусное действие может быть достигнуто при внутриочаговом введении блеомицина и интерферона альфа-2b, но эти методы лечения используются только при наиболее резистентных бородавках. Внутриочаговые инъекции можно использовать для лечения бородавок, которые являются множественными или находятся в чувствительных зонах.
Деструктивные методы
Вышеперечисленные препараты можно использовать в комбинации с деструктивными методами лечения (например, криодеструкцией, электрокоагуляцией, кюретажем, иссечением, лазерной коагуляцией), поскольку даже если бородавку физически удалить деструктивным методом, вирус может сохраняться в тканях и вызывать рецидив.
Связанные с ВПЧ раки
ВПЧ вызывает не все, но значительную долю анального, вагинального, вульварного, пенильного и орофарингеального рака.
Рак вульвы и влагалища (вульварный и вагинальный рак)
Рак вульвы наиболее распространен среди женщин пожилого возраста. Обычно проявляется в виде пальпируемой опухоли.
Диагноз ставится на основании данных биопсии.
Лечение хирургическое.
Рак полового члена (пенильный рак)
Большинство случаев этого редкого рака обычно встречаются у необрезанных мужчин, особенно у плохо соблюдающих правила личной гигиены.
ВПЧ типов 16 и 18 вызывают примерно от 35 до 40 % случаев рака полового члена в целом и от 70 до 80 % ВПЧ-положительных случаев рака полового члена.
Большинство случаев плоскоклеточного рака возникают на головке полового члена, в венечной борозде или под крайней плотью. Исходно они обычно выглядят как маленькие красноватые очаги и могут быть ограничены кожей на протяжении долгого времени. Эти опухоли могут расти, принимая грибовидную, экзофитную, язвенную или инфильтративную форму. Для последнего вида характерно более частое метастазирование, обычно в поверхностные и глубокие пахово-бедренные и тазовые лимфатические узлы. Отдаленные метастазы (например, в легкие, печень, головной мозг, кости) редки до поздних стадий заболеваний.
Большинство пациентов обращаются с незаживающей язвочкой, небольшим уплотнением кожи, иногда гнойным отделяемым или бородавчатым образованием. Язва может быть плоской или глубокой с закругленными краями. Многие пациенты не замечают опухоли и не сообщают о ней врачу вовремя. Боль нетипична. Увеличение паховых лимфоузлов может наблюдаться вследствие воспаления и вторичных инфекций.
Диагноз ставится на основании данных биопсии. Лечение включает эксцизию опухоли.
Рак анального канала (анальный рак)
Относительно редкий вид рака. ВПЧ типов 16 и 18 вызывают почти 90 % случаев рака анального канала и предраковых поражений анального канала.
Женщины имеют более высокую заболеваемость раком анального канала, чем мужчины, хотя заболеваемость особенно высока среди мужчин, имеющих половые контакты с мужчинами, особенно с ВИЧ . Принимающие партнеры при анальных сексуальных контактах находятся в группе повышенного риска.
Основным симптомом является выделение крови при дефекации. Для диагноза необходима эндоскопия. У некоторых пациентов отмечается боль, тенезмы, ощущение неполного опорожнения прямой кишки. При пальцевом исследовании прямой кишки может пальпироваться объемное образование.
Лечение хирургическое с химиотерапией и лучевой терапией.
Рак ротоглотки (орофарингеальный рак)
ВПЧ-инфекция играет роль в развитии плоскоклеточных карцином головы и шеи. Как и рак полового члена и вульвы, рак ротоглотки состоит из двух широких категорий заболеваний: ВПЧ-ассоциированных и не-ВПЧ-ассоциированных. ВПЧ-ассоциированный рак ротоглотки в основном обнаруживается в ротоглотке и основании языка и миндалин.
ВПЧ также связан с раком гортани.
Рак ротоглотки, связанный с ВПЧ, встречается в более молодом возрасте, чем рак, не связанный с ВПЧ, и связан с сексуальными факторами риска.
Напротив, рак, не связанный с ВПЧ, связан в первую очередь с употреблением алкоголя и табака
Болезнь Боуэна (рак кожи или слизистых)
Редкая болезнь Боуэна может иметь экстрагенитальную (не на половых органах) форму с единичными, реже множественными поражениями кожи на пальцах рук, ног, ладоней, стопах, ассоциированную с 2, 3, 4, 16 типами ВПЧ, и генитальную с поражениями слизистой оболочки половых органов, ассоциированную с 16 типом ВПЧ.
Диагноз ставится на основании данных биопсии.
Лечение зависит от характеристик опухоли и может включать кюретаж (выскабливание пораженного участка кожи) и электродессикацию (прижигание высокочастотным током), хирургическое иссечение, локальную химиотерапию в месте поражения, электрокаутеризацию (разрушения ткани и спаивание кровеносных сосудов с помощью высокочастотного тока) или криохирургию (разрушение ткани жидким аотом).
Лечение
Специфической противовирусной терапии ВПЧ-инфекции в настоящее время не существует — лечение направлено только на устранение клинических проявлений.
- Лечение доброкачественных проявлений ВПЧ-инфекции в основном связано с различными видами деструкции ткани (включая местные цитостатики или иммунотерапию) или хирургическое лечение.
- Лечение злокачественных проявлений ВПЧ-инфекции сводится к лечению конкретной опухоли онкологическими методами.
Как не лечат ВПЧ
Ни в каких действующих рекомендациях не упоминаются следующие средства и методы: ацикловир и его производные, парентеральные интерфероны, интерлейкин-2 и внутривенные иммуноглобулины, изопринозин, гропринозин, цитофлавин, полиоксидоний, местный интерферон в вагинальных свечах (виферон) или каплях (гриппферон), амиксин, циклоферон, гомеопатия, физиотерапия, системная энзимотерапия, лаэннек, вобэнзим, янтарная кислота, БАДы, биорезонанс, Фолль, альтернативная (народная) медицина. Подробнее о неэффективных лекарствах.
Профилактика рака шейки матки
Это скрининг и вакцинация.
Вакцинация против ВПЧ
Вакцина направлена на предотвращение рака шейки матки, но не используется для его лечения. Все три вакцины наиболее эффективны, если их вводить до начала сексуальной жизни и потенциального контакта с ВПЧ.
Вакцинацию против ВПЧ рекомендуется начинать в возрасте 9–12 лет, двумя дозами с интервалом 6-12 месяцев (если начато до 15 лет) или тремя дозами в течение 6 месяцев (если начато после 15 лет) для лиц до 26 лет; отдельные руководства расширяют охват до 45 лет по индивидуальному решению врача.
Для людей с иммунодефицитными состояниями, включая ВИЧ-инфекцию, сохраняется рекомендация по введению трёх доз вакцины в возрасте 9–26 лет.
ВОЗ допускает {World Health Organization. Weekly Epidemiological Record. 2022; 97(50):645-672. https://iris.who.int/handle/10665/365350 } однократную вакцинацию у подростков 9–14 лет как полноценную альтернативу. Это снижает барьер доступа в развивающихся странах и среди неохваченных групп.
Двухвалентная вакцина защищает только от типов 16 и 18, которые вызывают более 70% случаев рака шейки матки.
Четырехвалентная вакцина защищает от 16 и 18 типов ВПЧ и от двух (типы 6 и 11), которые вызывают более 90% случаев аногенитальных и кожных кондилом.
Девятивалентная вакцина (не зарегистрирована в РФ) помимо 6, 11, 16 и 18 типов также защищает от других типов вируса папилломы человека (типы 31, 33, 45, 52 и 58), которые вызывают еще примерно 15% случаев рака шейки матки.
Скрининг рака шейки матки
Скрининг рака шейки матки выявляет предраковые изменения шейки матки (например, дисплазию шейки матки), что часто делает возможным лечение до развития рака шейки матки.
Скрининг использует тестирование на ВПЧ высокого риска методом ПЦР и/или цитологическое исследование соскоба с шейки матки (ПАП-тест).
Если ПЦР и ПАП-тест недоступны (например, в бедных странах), то в качестве скрининга возможен визуальный осмотр шейки матки после обработки уксусной кислотой или раствором Люголя.
В 2020 году Американское онкологическое сообщество выпустило новые рекомендации {Fontham ETH, Wolf AMD, Church TR, Etzioni R, Andrews KS, DeSantis CE, Fedewa SA, Manassaram-Baptiste D, Saslow D, Smith RA. Cervical cancer screening for individuals at average risk: 2020 guideline update from the American Cancer Society. CA Cancer J Clin. 2020;70(5):321-346. doi: 10.3322/caac.21628.} по скринингу рака шейки матки:
- в возрасте до 24 лет включительно скрининг не показан.
- в возрасте 30‒65 лет показано одно из следующего:
- тест на ВПЧ каждые 5 лет (предпочтительно),
- совместное тестирование на ВПЧ и ПАП-тест каждые 5 лет (приемлемо),
- ПАП-тест каждые 3 года (приемлемо),
- обсуждение о расширении скрининга у женщин старше 65 лет набирает силу на основе новых исследований, подчеркивая, что прекращение скрининга должно быть индивидуализировано.
- если женщины перенесли гистерэктомию (удаление матки) в результате патологии, отличной от рака, и не имели до этого аномальных результатов анализа ПАП-теста, скрининг не показан.
Скрининг у мужчин
У мужчин в большинстве случаев скрининг на ВПЧ-инфекцию не проводится. Исключение составляют мужчины, имеющие секс с мужчинами, особенно ВИЧ-положительные, которым может быть рекомендована анальная цитология (анальный ПАП-тест) и, при выявлении атипии, последующая аноскопия с высоким разрешением. {Источник:Centers for Disease Control and Prevention. HPV-Associated Anal Cancer. https://www.cdc.gov/cancer/hpv/preventing-hpv-associated-cancers.html } {Источник:Benson AB, Venook AP, Al-Hawary MM, Azad N, Chen YJ, Ciombor KK, Cohen S, Cooper HS, Deming D, Garrido-Laguna I, Grem JL, Hecht JR, Hoffe S, Hubbard J, Hunt S, Hussan H, Jeck W, Johung KL, Joseph N, Kirilcuk N, Krishnamurthi S, Maratt J, Messersmith WA, Meyerhardt J, Miller ED, Mulcahy MF, Nurkin S, Overman MJ, Parikh A, Patel H, Pedersen K, Saltz L, Schneider C, Shibata D, Skibber JM, Sofocleous CT, Stotsky-Himelfarb E, Tavakkoli A, Willett CG, Williams G, Algieri F, Gurski L, Stehman K. Anal Carcinoma, Version 2.2023, NCCN Clinical Practice Guidelines in Oncology. J Natl Compr Canc Netw. 2023 Jun;21(6):653-677. doi: 10.6004/jnccn.2023.0030. PMID: 37308125.} {Источник:Darragh TM, Winkler B. Anal cancer and cervical cancer screening: key differences. Cancer Cytopathol. 2011;119(1):5–19.}
Профилактика контактного пути передачи ВПЧ
Вирус передается при прямом физическом контакте кожи или слизистых оболочек. Основной путь передачи — половой, особенно при микроповреждениях кожи или слизистых. Передача через предметы, такие как одежда или поверхности, не подтверждена и считается крайне маловероятной.
Поскольку ВПЧ может передаваться при контакте с кожей, не защищенной презервативом, презервативы не полностью защищают от инфекции, но снижают риск заражения за счет предотвращения контакта только поверхностей половых органов. {Источник:Centers for Disease Control and Prevention. HPV Transmission. https://www.cdc.gov/sti/about/about-genital-hpv-infection.html }







